Tropical Journal of Natural Product Research (TJNPR) is the official scientific publication of the Natural Product Research group, University of Benin; and it is available in both printed and electronic formats. The journal is published monthly.

Tropical Journal of Natural Product Research (TJNPR) is a peer-reviewed, open access online international journal which publishes original research papers. The journal welcomes submission from scholars and experts for possible publication from all over the world. The scope of the journal includes: Pharmaceutical research, chemistry and biochemistry of naturally occurring compounds, biological evaluation of crude extracts, ethnomedicine, traditional and complementary medicine, ethnopharmacology, biomedical research, Biotechnology, Evaluation of natural substances of land and sea and of plants, microbes and animals, pharmacognosy, bioavailability, clinical, pharmacological, toxicological studies and pharmacokinetics of phytochemicals, Isolation and characterization of compounds, structure elucidation, synthesis and experimental biosynthesis of natural Product as well as developments of methods in these areas are welcomed in the journal. Finally, research papers in fields on the chemistry-biology boundary, papers discussing the screening of natural Product for biological activity against different health targets are also encouraged.

Vol. 9 No. 12 (2025): Tropical Journal of Natural Product Research (TJNPR)

Published: 2025-12-31

Abstract Views | PDF/EPUB Download: 0 / 0 / 0
DOI: https://doi.org/10.26538/tjnpr/v9i12.1

Network Pharmacology, Molecular Docking, and Machine Learning Prediction Reveal Andrographolide as a Mitochondrial Modulator in Cardiac Remodeling via TP53

Muhamad Rizqy Fadhillah, Wawaimuli Arozal, Raymond Rubianto Tjandrawinata, Dewi Sukmawati, Aryo Tedjo, Deni Noviana, Abdul Mun’im, Muhammad Habiburrahman, Edwina Rugayah Monayo, Suci Widya Primadhani

5910 – 5920

Abstract Views | PDF/EPUB Download: 0 / 0 / 0
DOI: https://doi.org/10.26538/tjnpr/v9i12.2

Potential of Curcuma zedoaria Hydrosol as an Antioxidant and Active Ingredient for Emulgel

Aptika Oktaviana Trisna Dewi, Yunita Dian Permata Sari, Rafiah Inas Zahra, Umi Nafisah

5921 – 5925

Abstract Views | PDF/EPUB Download: 0 / 0 / 0
DOI: https://doi.org/10.26538/tjnpr/v9i12.3
Abstract Views | PDF/EPUB Download: 0 / 0 / 0
DOI: https://doi.org/10.26538/tjnpr/v9i12.4

Development of 2D-QSAR Models and Molecular Docking of Protein Tyrosine Phosphatase 1B Inhibitors

Ismail Lamrani, Fathallaah Bazi, Mounir Ghamali, Fatiha Amegrissi, Bahija Mounir

5935 – 5944

Abstract Views | PDF/EPUB Download: 0 / 0 / 0
DOI: https://doi.org/10.26538/tjnpr/v9i12.5
Abstract Views | PDF/EPUB Download: 0 / 0 / 0
DOI: https://doi.org/10.26538/tjnpr/v9i12.6
Abstract Views | PDF/EPUB Download: 0 / 0 / 0
DOI: https://doi.org/10.26538/tjnpr/v9i12.7

Structure-Based Identification and Dynamic Profiling of Mitragyna speciosa Metabolites Targeting HPV E6 and EBNA1 in Cervical Cancer

Nabila H. Akbar, Putri H. J. Buih, M. Khoirunnisa, S. Farendina, Aditya M. P. Putra, Muhammad F. Hakiki, Muhammad A. Q. Salim, Taufik M. Fakih

5964 – 5972

Abstract Views | PDF/EPUB Download: 0 / 0 / 0
DOI: https://doi.org/10.26538/tjnpr/v9i12.8
Abstract Views | PDF/EPUB Download: 0 / 0 / 0
DOI: https://doi.org/10.26538/tjnpr/v9i12.9

A Zinc Oxide Microparticle (ZnOMP) Characterization Test Using Sumbawa Oil (Minyak sumbawa) Base Material

Chiquita Prahasanti, Syafrizal A. Pamungkas, Ika Febryana, Eka F. Augustina, Irma J. Savitri, Veronika P. Widiasih, Izzul Islam

5979 – 5982

Abstract Views | PDF/EPUB Download: 0 / 0 / 0
DOI: https://doi.org/10.26538/tjnpr/v9i12.10

Bioactive Compound Composition and Antioxidant Activity of Aleurone Layers and Whole Grains from Algerian Cultivars of Soft Wheat (Triticum aestivum), Durum Wheat (Triticum durum), and Barley (Hordeum vulgare)

Schahrazed Cherrak, Mohamed Zairi, Lahouaria Labga, Kheira Rebbah, Samira Meziani, Samia Benayeche, Abassia Demmouche, Norreddine Menadi

5983 – 5991

Abstract Views | PDF/EPUB Download: 0 / 0 / 0
DOI: https://doi.org/10.26538/tjnpr/v9i12.11
Abstract Views | PDF/EPUB Download: 0 / 0 / 0
DOI: https://doi.org/10.26538/tjnpr/v9i12.12

Phytochemical and Antioxidant Profile of the Ethanol Extracts of Phyllanthus niruri and Bergenia ligulata

Lida Majidinia, Aya Yaseen Mahmood Alabdali, Jithendra Panneerselvam, Venkatalakshmi Ranganathan, Sasikala Chinnappan, Ravishankar Ram Mani

6003 – 6007

Abstract Views | PDF/EPUB Download: 0 / 0 / 0
DOI: https://doi.org/10.26538/tjnpr/v9i12.13
Abstract Views | PDF/EPUB Download: 0 / 0 / 0
DOI: https://doi.org/10.26538/tjnpr/v9i12.14

Green Synthesis of Selenium Nanoparticles Using Arthrospira platensis Biomass and Their Anti-Hyperglycemic Effect: An In Vivo Research in Mice

Serli Viviani Patrisia, Wildan Hidayatullah, Aisyiah Apriliano, Fikri Maya Silvia, Ahmad Shobrun Jamıl, Arinta Agnie Dewantari, Soni Andrıawan

6014 – 6025

Abstract Views | PDF/EPUB Download: 0 / 0 / 0
DOI: https://doi.org/10.26538/tjnpr/v9i12.15

Bidirectional Conversion Models to Harmonize Total Phenolic and Flavonoid Content Analysis in Medicinal Plant Extracts

Bambang Cahyono, Iin Anjani, Nur A. Oktaviana, Agustina L. N. Aminin, Parsaoran Siahaan, Widayat, Meiny Suzery

6026 – 6032

Abstract Views | PDF/EPUB Download: 0 / 0 / 0
DOI: https://doi.org/10.26538/tjnpr/v9i12.16
Abstract Views | PDF/EPUB Download: 0 / 0 / 0
DOI: https://doi.org/10.26538/tjnpr/v9i12.17

Therapeutic Efficacy of β-Hydroxybutyrate Supplementation on Weight Loss and Glycemic Control in Fasted Obese and Diabetic Mice

Rachel N. Balapadang, Rachel N. Balapadang, Iqbal Zulqifli, Dandy S. Damara, Oca N. Fadilah, Hadi Sudarjat

6041 – 6045

Abstract Views | PDF/EPUB Download: 0 / 0 / 0
DOI: https://doi.org/10.26538/tjnpr/v9i12.18
Abstract Views | PDF/EPUB Download: 0 / 0 / 0
DOI: https://doi.org/10.26538/tjnpr/v9i12.19

In Silico Study of Bioactive Compounds from Red Fruit (Pandanus conoideus Lamk.) as Inhibitors of Human Alcohol Dehydrogenase

Dedy N. Hidayat, Gita V. Soraya, Rosdiana Natzir, Syahrijuita Kadir, Andrian Sucahyo, Herlina Yulidia, Marhaen Hardjo

6056 – 6064

Abstract Views | PDF/EPUB Download: 0 / 0 / 0
DOI: https://doi.org/10.26538/tjnpr/v9i12.20
Abstract Views | PDF/EPUB Download: 0 / 0 / 0
DOI: https://doi.org/10.26538/tjnpr/v9i12.21

Antihypertensive Activity Prediction of Physalis angulata L. Through Computational Analysis

Marisca E. Gondokesumo, Muhammad R. Rasyak, Mansur Ibrahim

6071 – 6080

Abstract Views | PDF/EPUB Download: 0 / 0 / 0
DOI: https://doi.org/10.26538/tjnpr/v9i12.22

The Effect of Dried Powdered Amnion on the Expression of M1 and M2 Macrophages and Changes in Acute Experimental Wound Area in Rats

Ferdinand Ferdinand, Afriwardi Afriwardi, David Sontani Perdanakusuma, Hirowati Ali

6081 – 6085

Abstract Views | PDF/EPUB Download: 0 / 0 / 0
DOI: https://doi.org/10.26538/tjnpr/v9i12.23
Abstract Views | PDF/EPUB Download: 0 / 0 / 0
DOI: https://doi.org/10.26538/tjnpr/v9i12.24
Abstract Views | PDF/EPUB Download: 0 / 0 / 0
DOI: https://doi.org/10.26538/tjnpr/v9i12.25

Wound Healing Potential of Hydrogel Extract of Saccharum spontaneum Leaves Using Incision Wound Healing Model in Rats

Eko S. Wahyuningsih, Asman Sadino, Farhamzah Farhamzah, Neni S. Gunarti, Putri Agustina, Sudrajat Sugiharta, Yogi R. Nugraha, Andi N. Amal, Maulana Y. Alkandahri, Siska R. Dewi, Siti S. Dhaniaty, Tati Kholisoh, Balebat A. Sinangling, Audia N. Z. Adam

6099 – 6109

Abstract Views | PDF/EPUB Download: 0 / 0 / 0
DOI: https://doi.org/10.26538/tjnpr/v9i12.26
Abstract Views | PDF/EPUB Download: 0 / 0 / 0
DOI: https://doi.org/10.26538/tjnpr/v9i12.27
Abstract Views | PDF/EPUB Download: 0 / 0 / 0
DOI: https://doi.org/10.26538/tjnpr/v9i12.28

Traditional Wisdom on Cultivated Edible Plants: Ethnobotany of the Kui Ethnic Group in Sangkha District, Surin Province, Northeastern Thailand

Piyaporn Saensouk, Surapon Saensouk, Phiphat Sonthongphithak, Auemporn Junsongduang, Khamfa Chanthavongsa, Tammanoon Jitpromma

6128 – 6143

Abstract Views | PDF/EPUB Download: 0 / 0 / 0
DOI: https://doi.org/10.26538/tjnpr/v9i12.29

Physicochemical and Microbial Changes in Fish Cake during Storage Obtained by Sterilization and Oxygen Absorbers

Agusriansyah Saputra, Agus Supriadi, Herpandi Herpandi, Siti Nurhasanah, Daniel Saputra

6144 – 6150

Abstract Views | PDF/EPUB Download: 0 / 0 / 0
DOI: https://doi.org/10.26538/tjnpr/v9i12.30
Abstract Views | PDF/EPUB Download: 0 / 0 / 0
DOI: https://doi.org/10.26538/tjnpr/v9i12.31
Abstract Views | PDF/EPUB Download: 0 / 0 / 0
DOI: https://doi.org/10.26538/tjnpr/v9i12.32

Antioxidant Activity and Phytochemical Composition of Thai Traditional Cannabis Longevity Recipes: In Vitro Evaluation of the Phontecho Remedy

Chawalit Yongram, Panupan Sripan, Suwadee Chokchaisiri, Orawan Wonganan, Rumrada Meeboonya, Thavatchai Kamoltham, Sasipen Krutchangthong, Panyada Panyatip

6166 – 6174

Abstract Views | PDF/EPUB Download: 0 / 0 / 0
DOI: https://doi.org/10.26538/tjnpr/v9i12.33
Abstract Views | PDF/EPUB Download: 0 / 0 / 0
DOI: https://doi.org/10.26538/tjnpr/v9i12.34
Abstract Views | PDF/EPUB Download: 0 / 0 / 0
DOI: https://doi.org/10.26538/tjnpr/v9i12.35
Abstract Views | PDF/EPUB Download: 0 / 0 / 0
DOI: https://doi.org/10.26538/tjnpr/v9i12.36
Abstract Views | PDF/EPUB Download: 0 / 0 / 0
DOI: https://doi.org/10.26538/tjnpr/v9i12.37
Abstract Views | PDF/EPUB Download: 0 / 0 / 0
DOI: https://doi.org/10.26538/tjnpr/v9i12.38

Rice Bran Dextrose Agar as a Cost-Effective Alternative to Standard Fungal Culture Media

Rafika Rafika, Rahman Rahman, Ridho Pratama, Artati Artati, Mursalim Mursalim, Muhammad Nasir, Widarti Widarti, Nuradi Nuradi, Nurdin Nurdin, Asyhari Asyikin, Nurisyah Nurisyah, Tajuddin Abdullah, Asmawati Asmawati

6209 – 6213

Abstract Views | PDF/EPUB Download: 0 / 0 / 0
DOI: https://doi.org/10.26538/tjnpr/v9i12.39
Abstract Views | PDF/EPUB Download: 0 / 0 / 0
DOI: https://doi.org/10.26538/tjnpr/v9i12.40

The Employment of FTIR Spectroscopy and Multivariate Data Analysis for Authentication Study of Sacha Inchi Seed Oil

Youstiana D. Rusita, Abdul Rohman, Marlyn D. Laksitorini, Purwanto Purwanto

6227 – 6234

Abstract Views | PDF/EPUB Download: 0 / 0 / 0
DOI: https://doi.org/10.26538/tjnpr/v9i12.41

Structural and Morphological Characterization of Bovine Pericardium–Nigella sativa Composite using XRD and SEM

Ernie M. Setiawatie, Irma J. Savitri, Ferlina D. A. Y. P. Asano, Aulia G. Syahria, Basril Abbas, Yessy Warastuti, Tantin R. Dwidjartini

6235 – 6238

Abstract Views | PDF/EPUB Download: 0 / 0 / 0
DOI: https://doi.org/10.26538/tjnpr/v9i12.42

Innovative Formulation of Solid Lipid Nanoparticle Loaded with Carrot Seed Essential Oil for Potential Antioxidant Activity and Sun Protection

Arman Suryani , Azrul R. Affani, Berliana W. Safitri, Indah A. Azis, Muhammad F. E. Aldo, Hagia Sofia

6239 – 6248

Abstract Views | PDF/EPUB Download: 0 / 0 / 0
DOI: https://doi.org/10.26538/tjnpr/v9i12.43

Potential Cytotoxic Isolates of Spigelia anthelmia Linn. against T47D and WiDr Cancer Cells

Muhammad Taupik, Nanang Fakhruddin, Mohamad A. Mustapa, Endah N. Djuwarno, Qamar U. Ahmed

6249 – 6257

Abstract Views | PDF/EPUB Download: 0 / 0 / 0
DOI: https://doi.org/10.26538/tjnpr/v9i12.44
Abstract Views | PDF/EPUB Download: 0 / 0 / 0
DOI: https://doi.org/10.26538/tjnpr/v9i12.45

Acute and Sub-Chronic Toxicity of the Herbal Remedy Loi-Hoa-Vien-Tot-Bung (LHVTB) in Mice

Ngai H. T. Tran, Phung P. Hoang, Tai A. Lu, Ngan T. Duong, Huy Q. Dang, Xuong M. Tu, Hoang M. Le

6268 – 6273

Abstract Views | PDF/EPUB Download: 0 / 0 / 0
DOI: https://doi.org/10.26538/tjnpr/v9i12.46

GC-MS Analysis, Determination of Total Flavonoid Content, Sun Protection Factor, and In Vitro Anti-inflammatory Activity of Ethanol Extract of Kokang (Lepisanthes amoena) Leaves

Fadlilaturrahmah Fadlilaturrahmah, Arnida Arnida, Amalia Khairunnisa, Nani Kartinah, Nashrul Wathan, Lusiana Ernadi Putri, Diana Nurus Sholehah

6274 – 6280

Abstract Views | PDF/EPUB Download: 0 / 0 / 0
DOI: https://doi.org/10.26538/tjnpr/v9i12.47

Phytochemical Profiling and Bioactivity Evaluation of Perilla Species from Thai Nguyen Province, Vietnam

Tu Q. Trung, Pham V. Khang, Tran T. Hong, Bui D. Nguyen, Shen Sida, Hoang P. Hiep

6281 - 6287

Abstract Views | PDF/EPUB Download: 0 / 0 / 0
DOI: https://doi.org/10.26538/tjnpr/v9i12.48
Abstract Views | PDF/EPUB Download: 0 / 0 / 0
DOI: https://doi.org/10.26538/tjnpr/v9i12.49
Abstract Views | PDF/EPUB Download: 0 / 0 / 0
DOI: https://doi.org/10.26538/tjnpr/v9i12.50

VEGF and Macrophage Expression in Pulp Inflammation Following Administration of a Combination of Tricalcium Silicate Cement and Galam (Melaleuca cajuputi var. cumingiana) Leaf Extract: In Vivo and In Silico Studies

Sherli Diana, Irene E. Rieuwpassa, Juni J. Nugroho, Rasmidar Samad, Risfah Yulianty, Nurhayaty Natsir, Nurlindah Hamrun, Muthi’ah N. Putri, Agung S. Wardhana, Maharani L. Apriasari, Tri Nurrahman, Juliyatin P. Utami

6307 – 6312

Abstract Views | PDF/EPUB Download: 0 / 0 / 0
DOI: https://doi.org/10.26538/tjnpr/v9i12.51

Assessment of Essential Oil Yield from Artemisia herba-alba and the Endemic Artemisia mesatlantica in the Middle Atlas of Morocco: A Step Toward Sustainable Valorization

Achraf Mabrouk, Ayoub Souileh, Hajar Sadrati, Younes El Goumi, Khadija Benhaddou, Mohammed Chrachmy, Reda Benhima, Badr Satrani, Najib Magri, Hayat Oubrahim, Mohamed Ouajdi, Younes Abbas

6313 – 6318

Abstract Views | PDF/EPUB Download: 0 / 0 / 0
DOI: https://doi.org/10.26538/tjnpr/v9i12.52

Induction of JUN and FOS Expression by Gallic Acid Derivatives in MCF-7 Breast Cancer Cells: An in Silico and RT-PCR Study

Ade Arsianti, Anisah Firda Rachmani, Aryo Tedjo, Norma Nur Azizah, Shun Hirota, Hiroki Tanimoto

6319 – 6325

Abstract Views | PDF/EPUB Download: 0 / 0 / 0
DOI: https://doi.org/10.26538/tjnpr/v9i12.53

The Therapeutic Effect of Bidens Pilosa as Anti-Colon Cancer in Alcohol- Induced Rats: In Vivo and In Silico Method

Melva Silitonga, Hendro Pranoto, Adriana D. LumbanGaol, Erlintan Sinaga, Feimmy R. P. Sipahutar, Fajar A. Sinaga

6326 – 6335

Abstract Views | PDF/EPUB Download: 0 / 0 / 0
DOI: https://doi.org/10.26538/tjnpr/v9i12.54
Abstract Views | PDF/EPUB Download: 0 / 0 / 0
DOI: https://doi.org/10.26538/tjnpr/v9i12.55

Performance of Ipomoea batatas L. Pigment as a pH Strip and Acid–Base Titration Indicator

Maria A. U. Leba, Adri G. Sooai, Sesilia D.B. Mau, Megawati, Maximus M. Taek, Juvencio D. C. Ruas, Erly G. Boelan, Noemia A. Ruas, Adilson D. C. Ruas, Maria B. Tukan, Faderina Komisia, Raymond F. Mesugama

6342 – 6351

Abstract Views | PDF/EPUB Download: 0 / 0 / 0
DOI: https://doi.org/10.26538/tjnpr/v9i12.56

Ethanol Extract of Hymenocardia acida Tul (Euphorbiaceae) Ameliorates Pentylenetetrazole-Induced Seizures and Neuroinflammation in Mice

James O. Oni, Chiamaka I. Obi, Gladys O. Adeoluwa, Funmilayo R. Adeniyi, Ibifiri P. Jack, Lily O. Otomewo, Obinna K. Okorie, Olayemi K. Wakeel, Olusegun A. Adeoluwa

6352 – 6355

Abstract Views | PDF/EPUB Download: 0 / 0 / 0
DOI: https://doi.org/10.26538/tjnpr/v9i12.57

Post-germination Application of Trichoderma asperellum for the Biocontrol of Macrophomina phaseolina in Cowpea

Olusola L. Oyesola, Tonjock R. Kinge, Olufisayo A. Kolade, Olawole O. Obembe

6356 – 6361

Abstract Views | PDF/EPUB Download: 0 / 0 / 0
DOI: https://doi.org/10.26538/tjnpr/v9i12.58

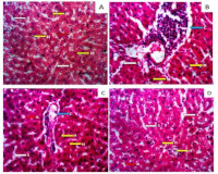
Dietary Zingiber officinale (Ginger) Supplementation Ameliorates Lead Carbonate-Induced Hepato-Renal Toxicity and Inflammation in Female Wistar Rats

Oluwafemi S. Olaniyi, Kolade P. Folorunso, Foluso O. Ojo, Luqman A. Hassan, Oluseyi Y. Aderibigbe, Olamide S. Olayemi, Tivere S. Okojie, Tolulope A. Edward

6362 – 6366

Abstract Views | PDF/EPUB Download: 0 / 0 / 0
DOI: https://doi.org/10.26538/tjnpr/v9i12.59
Abstract Views | PDF/EPUB Download: 0 / 0 / 0
DOI: https://doi.org/10.26538/tjnpr/v9i12.60

ERRATUM: Antimicrobial Activity of Tripitsajuk Crude Extract against Escherichia coli and Pseudomonas aeruginosa

Jongkonnee Thanasai, Wanlaya Naowaratwattana, Watchara Kanchanarach, Pacharamon Soncharoen

6373 - 6381

Abstract Views | PDF/EPUB Download: 0 / 0 / 0
DOI: https://doi.org/10.26538/tjnpr/v9i12.61
Abstract Views | PDF/EPUB Download: 0 / 0 / 0
DOI: https://doi.org/10.26538/tjnpr/v9i12.63
Abstract Views | PDF/EPUB Download: 0 / 0 / 0
DOI: https://doi.org/10.26538/tjnpr/v9i12.64

ERRATUM: Impact of some Bioactive Compounds of Flavonoid-Rich Fraction of Monodora tenuifolia, Benth on Glucose Concentration and Certain Proteins Associated with Glucose Metabolism using Molecular Docking Approach

Samuel C. Nzekwe, Adetoun E. Morakinyo, Monde Ntwasa, Sogolo L. Lebelo, Oluwafemi O. Oguntibeju, Oluboade O. Oyedapo, Samuel O. Babarinde, Ademola O. Ayeleso

6403 - 6412

Abstract Views | PDF/EPUB Download: 0 / 0 / 0
DOI: https://doi.org/10.26538/tjnpr/v9i12.65

ERRATUM: Formulation and Characterization of Nanostructured Lipid Carriers Composed of Solid Lipids (Cetyl Palmitate and Stearic Acid) and Liquid Lipid (Nyamplung Oil [Calophyllum inophyllum L.])

M. F. Rochman, Yulias N. Windriyati, Ayu Shabrina, Malinda Prihantini, Danang N. Wibowo, Urva Fresiva, Junvidya Heroweti, Kiki Damayanti, Sheila A. O. Galliano, Nurul Anizha, Defa P. Ardiansa, Arisna Ayuningtyas

6382 - 6386

Abstract Views | PDF/EPUB Download: 0 / 0 / 0
DOI: https://doi.org/10.26538/tjnpr/v9i12.62
View All Issues