Potential Reversibility of the Antifertility Effects of Papaya (Carica papaya) Seed Extract on Sperm Quality and Testicular Histopathology in Male Mice (Mus musculus)
Main Article Content
Abstract
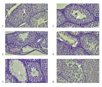
Indonesia is experiencing population growth, with contraceptive use predominantly undertaken by women due to the limited male options. Studies on papaya (Carica papaya) seeds have shown antifertility potential in animal models, but data regarding the systemic toxicity and reversibility remain limited. Therefore, this post-test-only experimental study aims to evaluate the potential reversibility of antifertility effects on sperm quality and testicular histopathology. The sample comprised 25 male ICR (Institute of Cancer Research) mice (Mus musculus), aged 2–3 months and weighing 20–30 g, divided into five groups (n=5), namely control, treatment (10% and 20% papaya seed extract), and reversibility groups. The extract was prepared by maceration and administered orally for 36 consecutive days, followed by a 36-day withdrawal period for the reversibility groups. Parameters assessed were sperm quality, testicular morphometry and histopathology, and liver function (AST, ALT). Testicular morphometry and liver enzyme levels showed no significant changes (p > 0.05). The extract significantly reduced sperm concentration in a dose-dependent manner (p < 0.05). Furthermore, histopathological evaluation showed widened interstitial spaces, dilatation of the seminiferous tubule lumen, and disorganization of germ cells in treated groups. Potential reversibility of sperm quality and histopathological evaluation was observed following extract withdrawal, particularly at a 20% concentration. These results suggested that papaya seed extract induced antifertility effects by disrupting spermatogenesis and testicular histology, with reversible outcomes and no significant hepatic toxicity. In conclusion, papaya seed extract showed safe, dose-dependent, and reversible antifertility effects in male ICR mice, supporting its potential as a male contraceptive.
Downloads
Article Details
Section

This work is licensed under a Creative Commons Attribution-NonCommercial-NoDerivatives 4.0 International License.
How to Cite
References
1. Statistics Indonesia. Statistical yearbook of Indonesia 2024 [Internet]. Jakarta: Statistics Indonesia; 2024 [cited 2024 Jul 28]. p. 120. Available from: https://www.bps.go.id/en/ publication/2025/02/28/8cfe1a589ad3693396d3db9f/statistical-yearbook-of-indonesia-2025.html
2. Kusmiyati Y, Prasistyami A, Wahyuningsih HP, Widyasih H, Adnani QES. Duration of hormonal contraception and risk of cervical cancer. Kesmas Natl Public Health J. 2019;14(1):9-13. doi:10.21109/kesmas.v14i1.2713
3. Kusumaningtiyas ZA, Tamtomo D, Murti B. Meta-analysis of the effect of hormonal contraception on weight gain and hypertension in women of reproductive age. J Matern Child Health. 2022;7(6):699–710. doi:10.26911/thejmch.2022.07.06.08.
4. Michel KG, Huijbregts RP, Gleason JL, Richter HE, Hel Z. Effect of hormonal contraception on the function of plasmacytoid dendritic cells and distribution of immune cell populations in the female reproductive tract. J Acquir Immune Defic Syndr. 2015;68(5):511–518.
5. Nita S, Setiawan A, Inggarsih R, Tantri U, Herdiana M. Papaya (Carica papaya L.) seed extract as male contraception via decreasing the quality of rat’s (Rattus norvegicus) sperm. Bioscientia Medicina. 2019;4(1):19–28.
6. Walansendow R, Rumbajan JM, Tendean L. Effect of papaya seed (Carica papaya L.) extract administration on the quality of Wistar rats (Rattus norvegicus) spermatozoa. J e-Biomedik. 2016;4(1). Available from: https://ejournal.unsrat.ac.id/v3/index.php/ebiomedik/article/ view/11043.
7. Ruspawan ID, Bakta IM, Karmaya IN, Satriyasa BK, Arijana IG. Ethanol extract of young papaya seeds (Carica papaya, L) lower the level of testosterone, spermatozoa count and expression of androgen receptors in Sertoli cells of adult mice (Mus musculus). Biomed Pharmacol J. 2021;14(1):207–213. doi:10.13005/bpj/2115.
8. Monaghan AE, McEwan IJ. A sting in the tail: the N-terminal domain of the androgen receptor as a drug target. Asian J Androl. 2016;18(5):687-694.
9. O’Hara, L., McInnes, K., Simitsidellis, I., Morgan, S., Atanassova, N., Slowikowska-Hilczer, J., Kula, K., Szarras-Czapnik, M., Milne, L., Mitchell, R.T. and Smith, L.B. Autocrine androgen action is essential for Leydig cell maturation and function, and protects against late-onset Leydig cell apoptosis in both mice and men. FASEB J, 2015;29(3);894–910. doi:https://doi.org/10.1096/fj.14-255729.
10. Widyanjaya AA, Satyarsa AB, Dharmadi NL, Sari MM, Laveda X, Satriyasa BK. Effect of papaya seed (Carica papaya Linn.) extract administration on the histopathological features of testes in male mice (Mus musculus). ESSENTIAL. 2020;18(2):11–15
11. Zehra N, Naz L. Toxicity evaluations of papaya seed extract administration in albino Wistar rats. Int J Endorsing Health Sci Res. 2021;9(1):28–34.
12. Nugroho RA. Introduction to mouse as laboratory animals. Samarinda: Mulawarman University Press; 2018. p.114-127.
13. Okulmus C, Icil NI, Turkyilmaz O, Yildirir ZT. Clinical chemistry reference intervals for Swiss albino strain mice commonly used in scientific studies. Comp Clin Pathol. 2025;34:567–574. doi:10.1007/s00580-025-03683-w.
14. Wiryawan RA, I’tishom R, Purwaningsih S. Papaya seed extract lowers sperm concentrations, motility and viability in male mice. Folia Med Indones. 2016;51(4):252-256. doi:10.20473/fmi.v51i4.2855.
15. Meiliana A, Wijaya A. Hormesis in health and disease: Molecular mechanisms. Indones Biomed J. 2020;12(4):288–303. doi:10.18585/inabj.v12i4.1315.
16. Creasy DM, Maronpot RR, Giri DK. Nonneoplastic lesion atlas. National Toxicology Program [Internet]. 2024 [cited 2025 Jul 7]. Available from: https://ntp.niehs.nih.gov/atlas/nnl
17. Ortega-Pacheco A, Jiménez-Coello M, Gutiérrez-Blanco E, Acosta-Viana K, Guzmán-Marín E, Zavala-Sánchez M, Montalvo-Beltrán N, Pérez-Gutiérrez. Effects of chloroformic extracts from washed and unwashed papaya seeds (Carica papaya) on the sperm concentration of dogs. Reprod Domest Anim. 2009;45(6):1126–1129. doi:10.1111/j.1439-0531.2009.01503.x
18. Sandhya Rani S, Vedavijaya T, Sree PK, Shanmugasundaram J, Deepalatha C, Raju MG, Babu Sayana S. A comprehensive analysis of phytochemical composition, acute toxicity assessment, and antioxidant potential of ethanolic extract of Carica papaya seeds. Cureus. 2023;15(11):e49686. doi:10.7759/cureus.49686
19. Attah AI, Eneji EG, Hogan IE. Effects of Carica papaya seeds on acetaminophen-induced hepatotoxicity in male Wistar rats. Trop J Nat Prod Res. 2020;4(8):463-470. doi:10.26538/tjnpr/v4i8.23
20. Oh TW, Kim KY, Do HJ, Kim YW, Park KI. Comparative analysis of acute and chronic stress-induced neurobehavioral alteration and liver injury in mice. Mol Cell Toxicol. 2020;16(4):367-375. doi:10.1007/s13273-020-00094-6
21. Hernández‐Godínez B, Bonilla Jaime H, Poblano A, Arteaga‐Silva M, Medina Hernández A, Contreras‐Uribe A, Ibáñez‐Contreras A. Effect of different anesthetic mixtures—ketamine-xylazine, ketamine-acepromazine and tiletamine-zolazepam—on the physiological and blood biochemistry parameters of male rhesus monkeys (Macaca mulatta) at different ages. Anim Models Exp Med. 2019;2(2):83–97. doi:10.1002/ame2.12062.
22. Chen FH, Yu CF, Yang CL, Lin YC, Lin G, Wang CC, Yu HP, Fang J, Chang NF, Hong JH. Multimodal imaging reveals transient liver metabolic disturbance and sinusoidal circulation obstruction after a single administration of ketamine/xylazine mixture. Sci Rep. 2020;10(1):3657. doi:10.1038/s41598-020-60347-1.
23. Shiyan S, Nuria SA, Alzuraiqi LM, Pratiwi G, Nalindra WN, Aisyah JR. Phytopharmaceutical modification of papaya (Carica papaya) seed extract on sperm quality using self-nano emulsion as contraception potential. Pharmacon J Farm Indones. 2024;21(2):95–103. doi:10.23917/pharmacon.v21i2.7467.
24. Uche-Nwachi E, Mitchell C, McEwen C. Steroidogenic enzyme histochemistry in the testis of Sprague Dawley rats following the administration of water extracts from Carica papaya seed. Afr J Tradit Complement Altern Med. 2010;8(1):69-78. doi:10.4314/ajtcam.v8i1.60528.
25. Adeoye RI, Olopade ET, Olayemi IO, Okaiyeto K, Akiibinu MO. Nutritional and therapeutic potentials of Carica papaya Linn. seed: A comprehensive review. Plant Sci Today. 2024;11(2):671-680. doi:10.14719/pst.2843.
26. Zhang T, Chen W. The Candida albicans inhibitory activity of the extract from papaya (Carica papaya L.) seed relates to mitochondria dysfunction. Int J Mol Sci. 2017;18(9):1858. doi:10.3390/ijms18091858.
27. Ghaffarilaleh V, Fisher D, Henkel R. Carica papaya seed extract slows human sperm. J Ethnopharmacol. 2019;241:111972. doi:10.1016/j.jep.2019.111972.
28. Busman H, Sutyarso, Kanedi M, Farisi S, Mumtazah DF. Sperms quality of mice effectively decreased by essential oil extracted from plant tuber of nutgrass (Cyperus rotundus). J Adv Pharm Educ Res. 2020;10(4):56–70. doi:10.51847/v5Mtu03ICQ.
29. Walke G, Sagar Gaurkar, Prasad R, Tejaswee Lohakare, Mayur Wanjari. The impact of oxidative stress on male reproductive function: Exploring the role of antioxidant supplementation. Cureus. 2023;15(7):e42583. doi:10.7759/cureus.42583.
30. Julaeha E, Permatasari Y, Mayanti T, Diantini A. Antifertility compound from the seeds of Carica papaya. Procedia Chem. 2015;17:66–69. doi:10.1016/j.proche.2015.12.135.
31. Huang YJ, Nan GX. Oxidative stress-induced angiogenesis. J Clin Neurosci. 2019;63:13-16. doi:10.1016/j.jocn.2019.02.019.
32. Staiculescu M, Foote C, Meininger G, Martinez-Lemus L. The role of reactive oxygen species in microvascular remodeling. Int J Mol Sci. 2014;15(12):23792–23835. doi:10.3390/ijms151223792.
33. Dutta S, Sengupta P, Slama P, Roychoudhury S. Oxidative stress, testicular inflammatory pathways, and male reproduction. Int J Mol Sci. 2021;22(18):10043. doi:10.3390/ijms221810043.
34. Nurcahyani N, Busman H, Sutyarso, Rahmawati PD, Kanedi M. Antispermatogenic effect of seeds extract of papaya (Carica papaya L.) in mice. Pharm Chem J. 2018;5(4):18–22.
35. Kipyegon AN, M’Ikiugu HM, Tsuma VT, Oduma JA. Effects of ripe Carica papaya seed powder on testicular histology of boars. Int J Vet Sci. 2012;1(1):1–4.
36. Tang Y, Li H, Zou G, Zeng C, Zhang M. Oxidative stress and antioxidation in testicular Leydig: Implications for male fertility. Preprints. 2024;2024101855. doi:10.20944/preprints202410.1855.v1.
37. Monageng E, Offor U, Takalani NB, Mohlala K, Opuwari CS. A review on the impact of oxidative stress and medicinal plants on Leydig cells. Antioxidants. 2023;12(8):1559. doi:10.3390/antiox12081559.
38. O’Donnell L, Smith LB, Rebourcet D. Sertoli cells as key drivers of testis function. Semin Cell Dev Biol. 2021;121:2-9. doi:10.1016/j.semcdb.2021.06.016.
39. França LR, Hess RA, Dufour JM, Hofmann MC, Griswold MD. The Sertoli cell: One hundred fifty years of beauty and plasticity. Andrology. 2016;4(2):189–212.
40. Park W, Wei S, Kim B, Kim B, Bae SJ, Chae YC, Ryu D, Ha K. Diversity and complexity of cell death: a historical review. Exp Mol Med. 2023;55(8):1573-1594. doi:10.1038/s12276-023-01078-x.


